Eine erhöhte Kortisolausschüttung von gutartigen Nebennierentumoren geht mit einer gesteigerten Sterblichkeit einher, vor allem bei Frauen unter 65 Jahren. Das belegt eine von Würzburg aus geleitete internationale multizentrische Studie. Die Auswertungen dieser Studie wurden jetzt im renommierten Journal Lancet Diabetes Endocrinology publiziert.
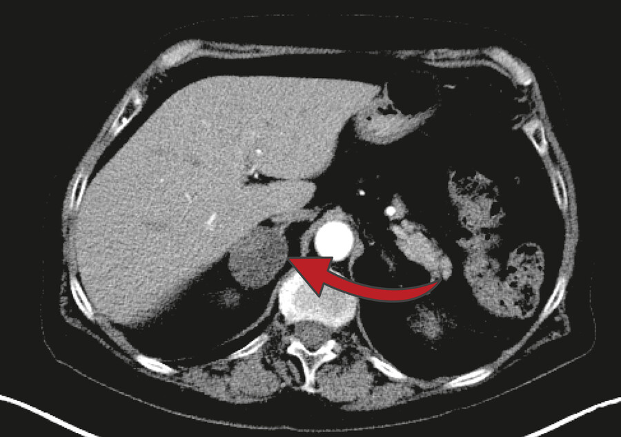
Drei Prozent der über 50-Jährigen haben Nebennierentumore. Bei den über 80-Jährigen ist sogar jeder zehnte betroffen. 80 bis 90 Prozent dieser Tumore, die meist zufällig, zum Beispiel bei einer Computertomographie bei Gallenproblemen, Nierensteinen oder Rückenleiden, entdeckt werden, sind jedoch gutartig und vermeintlich harmlos.
Doch eine leicht gesteigerte Produktion des Hormons Kortisol, die viele dieser Tumore mit sich bringen, spaltete vor einiger Zeit die Meinungen. Muss man den Tumor operativ entfernen oder nicht?
Prof. Dr. Martin Fassnacht, Leiter des Lehrstuhls Endokrinologie und Diabetologie am Universitätsklinikum Würzburg, war bis vor kurzem noch der Meinung, dass man die meisten gutartigen Nebennierentumore nicht behandeln müsse, sondern nur diejenigen, die zu einem schweren Hormonexzess führen, heißt es in einer Mitteilung der Uni Würzburg.
Im Jahr 2014 berichteten zwei Studien unabhängig voneinander, dass Patienten und Patientinnen mit gutartigen Nebennierentumoren und erhöhter Hormonproduktion eher sterben als diejenigen, deren Tumor kein Kortisol produziert. Untersucht wurden insgesamt 400 Betroffene. „Das war uns zu wenig, wir wollten es genau wissen“, erinnert sich Martin Fassnacht. Bei einem europäischen Nebennierentreffen im Jahr 2014 in München adressierte er die Hypothese, dass das Krankheitsbild bei den meisten Betroffenen zu ignorieren sei und animierte seine europäischen Kolleginnen und Kollegen zu einer großen Kohortenstudie namens NAPACA-Outcome. 28 Zentren aus 16 europäischen Ländern und zwei Zentren aus den USA schlossen sich an. Die selbst gesetzte Mindestmarke von 2014 Studienteilnehmerinnen und -teilnehmern wurde schnell erreicht und schlussendlich sogar verdoppelt.
Von den 4.374 aufgenommenen Patientinnen und Patienten erfüllten 3.656 sämtliche Studienkriterien: Erwachsene mit gutartigem Nebennierentumor, der größer als ein Zentimeter ist und bei denen mittels Dexamethason-Test untersucht worden war, ob der Tumor vermehrt Kortisol produziert. Patientinnen und Patienten mit bösartigem Tumor und klinisch erkennbarem Hormonüberschuss wie zum Beispiel einem Cushing-Syndrom wurden ausgeschlossen. „Bei einem Cushing Syndrom sieht man den Betroffenen im Rahmen der ärztlichen Untersuchung gleich an, dass sie schwer krank sind. Hier besteht dann zweifelsohne rascher Handlungsbedarf“, bemerkt Martin Fassnacht.
Frauen unter 65 gefährdet das Zuviel an Kortisol am meisten
Die Auswertung dieser großen Studie hat selbst Skeptiker wie Martin Fassnacht überzeugt: „Entgegen meiner Hypothese sterben diejenigen mit einem Zuviel an Kortisol tatsächlich eher als diejenigen ohne. Doch es trifft nicht alle gleich. Zu unserer Überraschung haben wir festgestellt, dass Frauen unter 65 mit vermehrter Kortisolausschüttung ein vierfach höheres Risiko haben, eher zu sterben als Frauen ohne Kortisolüberschuss. Interessanterweise scheint letzterer bei Männern über 65 kaum eine Rolle zu spielen.“
„Je gesünder die Patienten sind, desto relevanter ist die Rolle des Kortisols“, vermutet Priv.-Doz. Dr. Timo Deutschbein, wissenschaftlicher Mitarbeiter am Lehrstuhl für Endokrinologie und Erstautor der Publikation. „Hätten die jungen Frauen unabhängig vom Kortisol ein relevant erhöhtes Risikoprofil, zum Beispiel Diabetes, Bluthochdruck, Übergewicht und Nikotinkonsum, würde das Kortisol wahrscheinlich keine wesentliche Rolle mehr spielen.“
All das werde jetzt in Folgestudien genauer untersucht. Auch der kausale Zusammenhang zwischen Zuviel an Kortisol und höherer Sterblichkeit müsse unter die Lupe genommen werden. Schließlich könnte die Sterblichkeit auch mit einem bisher unbekannten Faktor zusammenhängen, der für die Entstehung und das Wachstum des Nebennierentumors verantwortlich ist und „nur nebenbei“ zur vermehrten Kortisolausschüttung führt.
Zukünftig gilt es vor allem zu prüfen, wem eine Operation oder medikamentöse Behandlung empfohlen werden kann. „Ein Teil der Patientinnen und Patienten würde vermutlich von einer Operation oder medikamentösen Behandlung profitieren“, revidiert Martin Fassnacht seine anfängliche Meinung.
Die Auswertungen dieser von Würzburg aus geleiteten multizentrischen Studie wurde jetzt im renommierten Journal Lancet Diabetes Endocrinology publiziert.
Quelle: Universitätsklinikum Würzburg | Redaktion
