Das Diabetische Fuß-Syndrom (DFS) ist die komplexeste diabetesassoziierte Folgeerkrankung. Man geht davon aus, dass pro Jahr rund 250.000 Patienten ein DFS entwickeln. Dr. Hartmut Stinus sagt hier, worauf es bei der Behandlung ankommt.
Anhand des Datensatzes des Deutschen Instituts für Medizinische Dokumentation und Information wurde folgendes berechnet: "Die Diagnose eines Diabetes mellitus wurde im Jahr 2009 bei 6,4 von 65,6 Millionen und 2010 bei 6,7 von 64,9 Millionen GKV-Versicherten gestellt. Die Prävalenz und Inzidenz des Typ-2-Diabetes stiegen zwischen dem 50. und 79. Lebensjahr stark an. Die Inzidenz erreichte mit 24 Neuerkrankungen pro 1 000 Personenjahre einen Höhepunkt um das 85. Lebensjahr".
Die komplexeste diabetesassoziierte Folgeerkrankung
In Deutschland leben gemäß dieser Berechnungen 5,8 Millionen Patienten mit Typ-2-Diabetes. Die diabetische Fußerkrankung ist die komplexeste diabetesassoziierte Folgeerkrankung. Man geht davon aus, dass pro Jahr rund 250.000 Patienten ein Diabetisches Fuß-Syndrom entwickeln. Auch nach abgeheiltem Ulcus bleibt die Rezidivrate hoch, da etwa 34 Prozent nach einem Jahr, 70 Prozent nach fünf Jahren ein Rezidiv entwickeln. Ca. 50.000 Füße werden jährlich in Deutschland bei Diabetes mellitus amputiert, die Hälfte sind immer noch Majoramputationen
Eine Majoramputation zu vermeiden, ist oberstes Gebot bei der Behandlung des Diabetischen Fuß-Syndroms. Denn das Ausmaß der Extremitäten-Entfernung hat Auswirkungen auf die Lebenserwartung – nur ein Viertel der Patienten überlebt nach einer Majoramputation fünf Jahre, bei der Minoramputation unterhalb des Knöchels sind es dagegen 80 Prozent, so Lobmann im Dt. Ärzteblatt 2016. Wichtig ist daher die gute interdisziplinäre Zusammenarbeit und die Kenntnis der Chirurgen/Orthopäden in den spezifischen operativen Behandlungsmöglichkeiten.
Zunächst wird versucht die Deformität beim Diabetischen Fuß-Syndrom mittels externer entlastender Methoden mittels orthopädieschuhtechnische Maßnahmen zu behandeln.
Deformitäten des Vorfußes
Gelingt dies nicht, so sollte man wie Hochlehnert und Engels es im Buch das Diabetische Fuß-Syndrom beschreiben "keine Angst vor der kleinen Chirurgie beim neuropathischen Fuß" haben. Gerade Deformitäten wie Hallux valgus, Hammer- und Krallenzehen sowie die Plantarisierung (wenn Abschnitte der Zehen zur plantaren Auflagefläche werden) können mittels minimalinvasive Chirurgie sehr gut auch beim Diabetischen Fuß-Syndrom behandelt werden.
Die Plantarisierung entsteht durch Hyperflexion der Zeheninterphalangealgelenke D2-5 oder auch durch Hyperextension des IP-Gelenkes bei Hallux rigidus. Hochlehnert und Engels berichten, dass ca. 40 % der Patienten in ihrer Fußambulanz solche Langzehenfehlstellungen haben. Biomechanisch kommt dies durch Ausfall der intrinsischen Fußmuskulatur im Rahmen der Polyneuropathie.
57,8% aller Ulcera treten laut Engels im Bereich der Zehen auf. Chirugisch lässt sich dies ambulant mittels Tenotomien der langen Flexorensehne bei Krallenzehe, bei flexiblen Hammerzehen per Tenotomie des Extensor brevis lösen. Besteht eine rigide Hammerzehenfehlstellung, so wird hier eine sequentielle Hammezehenkorrektur operativ durchgeführt. Zunächst erfolgt die Condylektomie des Basisgliedes am Mittelgelenk, bis zum Kapselrelease im Grundgelenk.
Wichtig: Balanzierung der Sehnen und Bänder
Wichtig ist immer die Balanzierung der Sehnen und Bänder, um eine orthograde Zehenstellung ohne erhöhte plantaren Drücke zu erreichen. Bei Ulcera med. und lateral im Bereich der Zehenmittel-/endgelenke kann auch mittels interner Entlastung per Condyektomie gut geholfen werden – oder durch Adressieren der Fehlstellung und Korrektur der pathologischen Achsverhältnisse durch Korrekturosteotomien.
Im Bereich des ersten Strahles kann es aufgrund eines Hallux valgus zu medialen Ulceras kommen. Hier ist eine Hallux-valgus-Korrektur z.B. mittels Chevron-Osteotomie anzuraten . Bei plantarem Ulcus am Großzehenballen muss eruiert werden, ob eine Fehlstellung/Steilstellung des ersten Strahles vorliegt. Therapeutische Konsequenz wäre die Achskorrektur mit Extensionsosteotomie des ersten Strahles, um so eine plantare Druckentlastung zu erreichen.
Hochlehnert und Engels haben die Vorgehensweise in ihrer Arbeit "Das Entitätenkonzept des Fuß-Syndroms" sehr gut und präzise beschrieben.
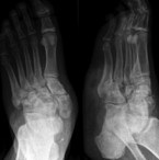
Bildgebende Diagnostik wichtig
Wichtig und unerlässlich ist daher immer zunächst ein Röntgenbild des Fußes in drei Ebenen, wobei ap. und seitl. eine Belastungsaufnahme als Standard gilt. Hier kann man die Fehlstellungen, die es zu adressieren gilt, sehr gut erkennen und dann operativ adressieren. Weiterführend sind bei Rückfußdeformitäten eine Saltzman-Aufnahme bis hin zur Ganzbeinaufnahme zielführend, um das "Centre of rotation and axis" (CORA) zu bestimmen.
Besteht dann die Frage nach der knöchernen Struktur mit Knochenödem oder gar einer Abszedierung (wie z.B. bei einem Charcot-Fuß), so ist eine Kernspintomographie indiziert – auch zur Differenzierung Charcot Fuß/Osteomyelitis, obwohl dies oft sehr schwierig ist.
Der Charcot-Fuß
Erstmalig wurden solche Gelenk- und Knochenveränderungen von Charcot 1883 bei der Tabes dorsalis erwähnt. Jordan sowie Bailey und Root beschrieben 1936 diese neurogenen Arthropathien im Zusammenhang mit dem Diabetes mellitus.
Wichtig ist die Kenntnis der Klassifikationen, so dass man in der interdisziplinären Behandlung eine eindeutige Basis der Verständigung hat, um dem Patienten die bestmögliche Therapie zu ermöglichen.
Eichenholtz und Levin haben ebenso wir Wagner/Amstrong eine Stadieneinteilung der Diabetisch Neuroosteopathischen Arthropathie (DNOAP) entwickelt. Sanders hat eine topographische Einteilung hierzu beigetragen. Wichtig ist immer die Beurteilung, in welchem Osteoarthropathiestadium sich der Fuß knöchern befindet (Eichenholtz-Stadien),wie die Weichteilsituation sich darstellt (Einteilung nach Levin).
Desweiteren muss eine etwaige Deformität abgeklärt werden. Bei Wunde/Ulcera stellt sich immer die Frage nach der Ausdehnung und Tiefe sowie die Abklärung, ob eine Infektsituation vorliegt und nicht zu vergessen ,ob eine Ischämie besteht (Klassifikation nach Wagner und Amstrong).
Rekonstruktive Maßnahmen bei Deformitäten des Fußes
An einigen Beispielen sei nun das chirurgische Vorgehen dargestellt. Handelt es sich um eine infektiöse, ischämisch nekrotiesierende Läsion im Bereich einzelner Kleinzehen bei noch guter Perfusion, so wird man eine Grenzzonenamputation dieser Kleinzehe anlog zum Algorithmus nach Baumgartner durchführen. Mittels racketförmigem Schnitt gelingt dies meist sehr gut..
Liegt ein chronisches Ulcus unter den Mittelfußköpfen vor, so ist nach Ausschöpfen aller konservativen Maßnahmen nach suffizientem Wundmanagement und orthopädieschuhtechnischer Versorgung mit Diabetes adaptierten Fußbettungen, Sohlenversteifung und Abrollhilfe bis hin zum Totalcontact cast eine Strahlresktion oft die Methode der Wahl. Wichtig ist, das Metatarsale basisnah am Lisfrac-Gelenk abzusetzen und plantar abzurunden, da bei zu distaler Resektion die Candystick-Deformitäten das Ulcus weiter unterhalten würden.
Osteoarthropatisch-bedingte Deformitäten an der Fußwurzel
Bei osteoarthropatisch-bedingten Deformitäten an der Fußwurzel kommmt es im Endstadium zum sog. Tintenlöscherfuß. Manchmal genügt es knöcherne Überstände plantar zu glätten und eine gute orthopädieschtechnische Versorgung durchzuführen. Bei schweren Deformitäten bleibt nur die korrigierende resezierende Osteotomie mit Entfernung des oesteoartopathischen Knochens.
War vor einigen Jahren hier nur die Retention mittels Fixateur externe (ca. 8-12- Wochen) erlaubt, so wird heute ab dem Eichenholtz-Stadium 3 bei Infektfreiheit oft eine Plattenosteosynthese favorisiert. Ob stimulierende Maßnahmen mittels Wachstumsfaktoren und/oder Stammzellen eine signifikante Verbesserung in der knöchernen Konsolidierung bringen, wird augenblicklich erforscht. Baumgartner ist hier jedoch der Ansicht, dass auch eine suffiziente straffe Pseudarthrose oftmals ausreichen würde.
Bei osteoarthropatischem Befall des Fersenbeines kann nach fehlschlagen nicht operativer Maßnahmen eine Teilresektion des Fersenbeines bis hin zur kompletten Calcanektomie durchgeführt werden. Ein spätere suffiziente orthopädieschuhtechnische Versorgung ist hier unumgänglich.
Bei der Osteoarthropathie des Talus kann versucht werden, nach Ausräumen des Knochens und Spongiosaplatik aus dem Beckekamm eine Arthrodese des OSG und USG z.B. mittels Arthrodesennagel durchzuführen. Ist der Talus komplett weggeschmolzen, so bleibt nur eine Talektomie. Baumgartner konnte sehr gut zeigen, dass sich durch "Aufsetzen der distalen Tibia auf den Calcaneus straffe Pseudarthrose mit gutem funktionellen Ergebnis erreichen lässt.
Amputationen als Ultima Ratio
Kann man mit rekonstruktiven Maßnahmen nicht helfen, so verbleibt nur die Amputation als Option. Für dem Technischen Orthopäden ist die Amputation jedoch nicht Kapitulation, sondern der beginn der neuen Therapie. Eine Sonderform der Amputation ist die von Baumgartner favorisierten transmetatarsale Amputation. Hier werden alle Metatarsalia reseziert – der Fuß wird zwar deutlich kürzer, aber die Zehen "stehen" noch, so dass es für den Patienten nicht nach einer vollständigen Amputation im eigentlichen Sinn aussieht.
Bei Amputationen ist wichtig, dass so viel wie möglich vom Fuß erhalten werden muss. Durch die Funktion und Ansatz der Tibialis-Sehnen ist der Lisfranc-Stumpf als funktionell sehr gut zu bezeichnen. Bei der Chopart-Amputation muss man schauen, dass der Stumpf nicht in Spitzfuß steht, weswegen hier ein Release der Achillessehnen notwendig ist. Als weitere Möglichkeiten ist der Pirogoff-Stumpf und Syme-Stumpf zu erwähnen.
Natürlich bleibt zu erwähnen, dass bei akuter Infektion nach wie vor das Hippokratische Vorgehen gemäß "ubi pus ibi evacua" heutzutage mit antibiotischer Behandlung nach Antibiogramm gilt.
Erschienen in: Diabetes-Forum, 2016; 28 (9) Seite 40-42
