Es ist bekannt, dass Intervallfasten die Empfindlichkeit für das blutzuckersenkende Hormon Insulin verbessert und vor einer Fettleber schützt. DZD-Wissenschaftlerinnen und -Wissenschaftler vom DIfE fanden nun heraus, dass bei Mäusen, die eine Intervallfasten-Kur bekamen, auch das Fett der Bauchspeicheldrüse schrumpfte. In ihrer neuen Arbeit im Fachblatt Metabolism zeigen sie, über welchen Mechanismus das Bauchspeicheldrüsenfett zur Entwicklung eines Typ-2-Diabetes beitragen könnte.
Als bekannte und häufig vorkommende Krankheit ist die Fettleber gründlich erforscht. Über die durch Übergewicht entstehende Fettansammlung in der Bauchspeicheldrüse und deren Auswirkungen auf den Ausbruch von Typ-2-Diabetes ist jedoch wenig bekannt. Das Forscherteam um Professorin Annette Schürmann und Professor Tim J. Schulz vom Deutschen Institut für Ernährungsforschung (DIfE) fand nun heraus, dass übergewichtige Mäuse, die anfällig für Diabetes sind, eine hohe Ansammlung an Fettzellen in der Bauchspeicheldrüse aufwiesen. Mäuse, die trotz eines hohen Gewichts aufgrund ihres Erbguts gegen Diabetes gefeit sind, hatten hingegen kaum Fett in der Bauchspeicheldrüse, dafür aber in der Leber. „Fettansammlungen außerhalb des Fettgewebes, z.B. in Leber, Muskeln oder gar den Knochen, wirken sich negativ auf diese Organe und den gesamten Körper aus. Welchen Einfluss Fettzellen innerhalb der Bauchspeicheldrüse haben, war bisher nicht klar“, erklärt Schürmann, Leiterin der Abteilung Experimentelle Diabetologie am DIfE und Sprecherin des Deutschen Zentrums für Diabetesforschung (DZD).
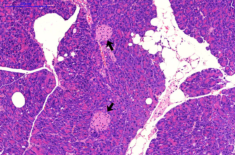
Intervallfasten lässt Fett der Bauchspeicheldrüse schmelzen
Das Wissenschaftlerteam teilte die dicken, für Diabetes anfälligen Tiere in zwei Gruppen: Die erste Gruppe durfte so viel fressen, wie sie wollte. Die zweite Gruppe erhielt eine Intervallfasten*-Kur: einen Tag bekamen die Nager unbegrenzt Futter und am nächsten Tag bekamen sie nichts. Nach fünf Wochen konnten die Forscherinnen und Forscher Unterschiede in den Bauchspeicheldrüsen der Mäuse sehen: In der Gruppe eins reicherten sich Fettzellen an. Die Tiere der Gruppe zwei hatten hingegen kaum Fetteinlagerungen in der Bauchspeicheldrüse.
Fettzellen stimulieren Ausschüttung von Insulin
Um herauszufinden, wie Fettzellen die Funktion der Bauchspeicheldrüse beeinträchtigen könnten, isolierten die Wissenschaftlerinnen und Wissenschaftler um Schürmann und Schulz erstmals Fett-Vorläuferzellen aus der Bauchspeicheldrüse von Mäusen und ließen sie zu reifen Fettzellen ausdifferenzieren. Wurden die reifen Fettzellen anschließend zusammen mit den Langerhans-Inseln** der Bauchspeicheldrüse kultiviert, setzten die Beta-Zellen der „Inseln“ verstärkt Insulin frei. „Wir vermuten, dass durch die erhöhte Insulinfreisetzung die Langerhans-Inseln von diabetesanfälligen Tieren schneller erschöpfen und nach einiger Zeit ihre Funktion ganz einstellen. Auf diese Weise könnte Fett in der Bauchspeicheldrüse zur Entstehung des Typ-2-Diabetes beitragen“, sagt Schürmann.
Bedeutung des Bauchspeicheldrüsenfetts für die Diabetesprävention
Die aktuellen Daten lassen vermuten, dass zur Vorbeugung eines Typ-2-Diabetes nicht nur das Leberfett gesenkt werden sollte. „Möglicherweise trägt gerade die Fettansammlung in der Bauchspeicheldrüse unter bestimmten genetischen Voraussetzungen entscheidend zur Entwicklung eines Typ-2-Diabetes bei“, sagt Schulz, Leiter der Abteilung Fettzell-Entwicklung und Ernährung. Als vielversprechender Therapieansatz könnte zukünftig Intervallfasten zum Einsatz kommen. Die Vorteile: Es ist nicht-invasiv, lässt sich meist leicht in den Alltag integrieren und kommt ohne Medikamente aus.
* Intervallfasten – auch als intermittierendes Fasten bekannt – bedeutet, in bestimmten Zeitfenstern auf Nahrung zu verzichten. Wasser, ungesüßter Tee und schwarzer Kaffee sind rund um die Uhr erlaubt. Je nach Methode dauern die Essenspausen zwischen 16 und 24 Stunden oder es werden innerhalb einer Woche an zwei Tagen höchstens 500 bis 600 Kalorien aufgenommen. Die bekannteste Form des Intervallfastens ist die 16:8-Methode: An acht Stunden des Tages darf gegessen werden und die übrigen 16 Stunden wird gefastet. Eine Mahlzeit – meist das Frühstück – wird dabei ausgelassen.
** Die Langerhans-Inseln – auch als Inselzellen oder Langerhans‘sche Inseln bezeichnet – sind inselartig eingebettete Ansammlungen hormonbildender Zellen in der Bauchspeicheldrüse. Ein gesunder Erwachsener hat etwa eine Millionen Langerhans-Inseln. Jede „Insel“ hat einen Durchmesser von 0,2-0,5 Millimeter. Die Beta-Zellen stellen das blutzuckersenkende Hormon Insulin her und machen etwa 65 bis 80 Prozent der Inselzellen aus. Sie geben bei erhöhten Blutzuckerspiegeln Insulin ins Blut ab, damit sich diese wieder normalisieren.
Quelle: Deutsches Institut für Ernährungsforschung Potsdam-Rehbrücke (DIfE)
