Bislang galt, wer sehr dick ist, hat auch ein erhöhtes Risiko an Diabetes, Krebs, Bluthochdruck und Herzinfarkt zu erkranken. Untersuchungen zeigen, dass aber nicht nur das Ausmaß, sondern vor allem die Lage und die Funktion des Fettgewebes eine entscheidende Rolle bei der Krankheitsentstehung spielen. Wissenschaftler des Deutschen Zentrums für Diabetesforschung (DZD) aus Tübingen haben herausgefunden, dass insbesondere eine verfettete Leber andere Organe schädigen kann. In zwei gerade veröffentlichten Studien weisen sie nach, welche Auswirkungen eine Fettleber spezifisch auf die Funktion der hormonproduzierenden Inselzellen in der Bauchspeicheldrüse (Pankreas) und der Nierenfunktion hat.
„Organ-Crosstalk“
Immer mehr Menschen leiden an einer nichtalkoholischen Fettleber. In den industrialisierten Ländern hat bereits fast jeder dritte Erwachsene eine krankhaft verfettete Leber. Damit erhöht sich für diese Menschen nicht nur das Risiko für chronische Erkrankungen der Leber (Leberzirrhosen und Leberkrebs), sondern auch für Typ-2-Diabetes und Herz-Kreislauferkrankungen. Ursache hierfür ist das veränderte Sekretionsverhalten der Fettleber. Sie produziert vermehrt Glucose, ungünstige Fette und Proteine, wie das Hepatokin Fetuin-A, und gibt sie in den Blutkreislauf ab. So gelangen die abgegebenen Substanzen der Fettleber zu anderen Organen und lösen dort Reaktionen aus. Bisher ist jedoch nicht genau bekannt, welche Auswirkungen dieser „Organ-Crosstalk“ hat, welche Organe am meisten betroffen sind und welche „Schäden“ das Hepatokin Fetuin-A verursachen kann.
Wie wirkt das von der Fettleber produzierte Eiweiß Fetuin-A auf die Bauchspeicheldrüse?
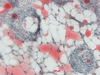
Um die ursächlichen Mechanismen und die daraus entstehenden Veränderungen nachweisen zu können, haben DZD-Forscherinnen und Forscher des Instituts für Diabetesforschung und Metabolische Erkrankungen (IDM) des Helmholtz Zentrums München an der Eberhard-Karls-Universität Tübingen den Einfluss von Fetuin-A auf Pankreasfettgewebe untersucht*. Im Fettgewebe der Bauchspeicheldrüse liegen neben ausgereiften Fettzellen auch zu etwa einem Drittel Vorläuferzellen (eine Art Stammzellen) vor. Behandelte man diese pankreatischen Zellen in Zellkulturen mit Fetuin-A, produzieren die reifen Fettzellen, aber insbesondere auch die Vorläuferzellen im Zusammenspiel mit Inselzellen mehr Entzündungsmarker und immunzell-anlockenden Faktoren.
Zusätzlich analysierten die Forscherinnen und Forscher Gewebeproben von 90 Patienten histologisch. Dabei zeigte sich, dass der Anteil des Pankreasfettes bei den Untersuchten sehr stark variiert. In Bereichen, in denen sich viele Fettzellen angelagert haben, war die Anzahl von Abwehrzellen des Immunsystems (Monozyten/Makrophagen) deutlich erhöht.
Mithilfe der Magnetresonanz-Tomographie hat die Arbeitsgruppe Endokrinologie um Professor Häring zusammen mit Wissenschaftlern der Sektion für Experimentelle Radiologie der Universität Tübingen in einer Kohorte von 200 Probanden mit erhöhtem Risiko an Typ-2 Diabetes zu erkranken, den Pankreasfettgehalt gemessen und mit Diabetesparametern verglichen. In diesen Untersuchungen zeigte sich, dass in Personen, die schon eine verschlechterte Blutzuckerregulation aufwiesen, eine erhöhte Pankreasverfettung mit einer verringerten Insulinsekretion assoziiert war.
Zusammenfassend lassen diese Analysen, die in den Fachjournalen Diabetologia und Diabetes Metab Res Rev veröffentlicht wurden, vermuten, dass eine Fettleber zusammen mit einer Verfettung der Bauchspeicheldrüse eine erhöhte lokale Immunzellinfiltration und Entzündung auslöst, die den Krankheitsverlauf beschleunigen.
Fetuin-A führt auch zu pathologischen Veränderungen der Niere
Fettgewebe ist jedoch nicht per se schädlich. Es kann sogar schützende Effekte haben. So verfügt etwa das Fettgewebe, das um Blutgefäße oder die Niere lokalisiert ist, über regenerative Eigenschaften. „Erst das von der Fettleber produzierte Fetuin-A führt zu pathologischen Veränderungen“, berichtet Professorin Dorothea Siegel-Axel, Leiterin der Arbeitsgruppe Fettgewebe und Komplikationen in Tübingen. Die Folge: Statt wie bisher das Gewebe zu schützen, löst das Fettgewebe nun entzündliche Prozesse aus. Für die betroffenen Menschen bedeutet das Einschränkungen der Nierenfunktion. Das zeigen Untersuchungen an Arterien und der Niere, die von derselben Arbeitsgruppe erst kürzlich im Journal Scientific Reports publiziert wurden.
„Die Aussage, dass Fettleibigkeit an sich immer eine krankmachende Wirkung besitzt, ist zu unpräzise. Erst die Bestimmung weiterer Parameter, wie Fettleber und Hepatokin-Spiegel und die dadurch ausgelösten Veränderungen in anderen Organen können genauere Hinweise liefern, ob ein Mensch ein erhöhtes Risiko hat, zu erkranken oder nicht“, fasst Professor Hans-Ulrich Häring, Vorstand des DZD und Leiter des IDM, die aktuellen Ergebnisse zusammen.
* Die Zellen für die Kulturen wurden aus Restgewebe im Rahmen von Operationen gewonnen, das für die Diagnostik nicht mehr benötigt und von den Patienten explizit freigegeben wurde.
Quelle: Pressemitteilung des Deutschen Zentrums für Diabetesforschung (DZD)
