In diesem Beitrag beschrieben ist ein mehrmonatiger Verlauf eines Patienten mit einer diabetischen Fußerkrankung mit Remission und Rezidiv. Dr. Joachim Kersken berichtet aus seiner praktischen Arbeit.
Ein pensionierter Geschäftsmann, 68 Jahre, stellte sich vor etwas 3 Jahren mit einer tief infizierten Wunde am rechten Großzeh (DI) vor. Der seit Jahren manifeste Typ-2-Diabetes mellitus wird mit oralen Präparaten halbwegs ausreichend behandelt. Er ist sehr selbstbewusst und hat in seinem Leben und in dem seiner Familie zahlreiche schwere Schicksalsschläge erlebt. Initial und formal bestand das Wundstadium 3D (ausgedehnter Infekt, freiliegender, herausbröckelnder Knochen bei path. Dopplersignalen und Verschlussdrücken). Über viele Monate – Geduld auf beiden Seiten – regelmäßigem Wunddebridement und Herausluxieren von Knochenfragmenten, antibiotischer Therapie, Ruhigstellung der Wunde heilte die große Wunde am rechten DI ohne OP/Amputation ab. Die durchgeführte Diagnostik, Behandlung und der langwierige Verlauf der Wunde am rechten Fuß sei an dieser Stelle im Einzelnen übergangen, da hier das Erstulcus auf der anderen, der linken Seite, im Fokus steht.
Soweit (Abb.1, Abb. 2, Abb. 3) ist bei einer amulanten Regelkontrolle im September 2019 alles ok, keine Schmerzen (bei PNP), subjektiv sehr zufrieden, zieht empfohlene und verordnete Schuhe (ausreichende Weite im Vorfußbereich, keine Kappen im Zehenbereich, Polsterrung) nicht an. Die reizlose, oberflächliche Restwunde versorgt er eigenständig und er ist stolz und froh die Wunde am rechten DI ohne OP geschafft zu haben.
Im Verlauf wird er etwa einmal im Quartal regelmäßig in der ambulanten Fußbehandlungseinrichtung (als Ermächtigungsambulanz) vorstellig.
Im Oktober 2020 stellt er sich mit folgendem, schmerzlosem Befund vor (Abb. 4). Etwa 5 x 3 cm große Wunde mit leichter Umgebungsrötung, die Achillessehne quillt oedemös heraus, Wundränder sind vital, bis zwei Zentimeter unterminiert, klinisch kein Verhalt, keine Schmerzen. Zur Genese und Dauer kann er keine Angaben machen: "ist doch nicht schlimm". Er trägt wohl unverändert und weiter Reitstiefel.
Neben Gewebegewinnung zur mikrobiologischen Diagnostik, antibiotischen Therapie, Dopplerdiagnostik, Ruhigstellung der Wundregion (konfektionierte Orthese, siehe Abb. 5) und intensivem Wunddebridement alle 2-3 Wochen wünschte der Patient nach ausführlicher Aufklärung (Perfusion, Infekt, OP) aussschließlich die Fortführung der ambulanten Versorgung.
Nach etwa 10 Monaten und einem zwischenzeitlich, lokalchirurgisch behandelten Abszeß proximal der distalen chronischen Ulceration im Bereich der Achillessehenregion zeigt sich der folgende Befund (Abb. 8): flache, längliche, nicht-infizierte Restläsion mit geringem serösen Sekret, die in den folgenden Wochen vollständig zur Abheilung kam.
Im November 2021 kommt der Patient dann, zwischenzeitlich 71 Jahre, mit folgendem Befund am linken Fuß (Abb. 9, Abb. 10, Abb. 11):
Anamnese: Vor dem letzten Wochenende habe er Fieber und Schüttelfrost bekommen, vom Hausarzt daraufhin ein (namentlich nicht genanntes) Antibiotikum erhalten und sei kurzfristig in die Fußambulanz verwiesen worden. Allgemeinzustand stabil.
Bei der Erstvorstellung wegen der infizierten, tiefen Wunde am linken Fuß, unter DI (vom Patienten bis auf die Rötung nicht zu sehen) war der Patient beschwerdefrei, kein Fieber, keine Schmerzen, "wollte nur mal vorbeischauen".
Es zeigt sich plantar Di links ein ausgedehnt nekrotisches Ulcus, bis zum Knochen mit regionaler Rötung, bläulich-livider Haut und medialem Vorfußoedem, Wundränder vital, etwas Pus.
Ad hoc durchgeführt: Doppler mit peripher drei biphasischen art. Signalen, Gewebe zur Mikrobiologie, unmittelbare Versorgung mit einem Langzeit-Verbandschuh, Desinfektion und ausgiebiges Wunddebridement, Verband. Nach ausführlicher Aufklärung und Erklärung des Befundes (Amputationsgefahr, Ausdehnung des vorhandenen Infektes, Verbesserung der Perfusion) lehnte der Patient all dies ab und wünschte explizit die Fortführung der amb. Behandlung mit mehrmals wöchentlicher Vorstellung und oraler antibiotischer Therapie. Labordiagnostik und Mikrobiologie bei Erstkontakt mit infiziertem Ulcus: CRP: 33,5 mg/l (N <5), HbA1c: 8,5% (4,3-5,9%).
Kuturdiagnostik aus Gewebe vom Ulcus DI links: Staph. aureus+++, Serratia marcescens+++, Enterobacter cloacae complex+++ und Anaerobier.
Von ärztlicher Seite wie aus Sicht der Wundassistenz wurde der Befund wiederholt dem Patienten erläutert und eine stationäre Aufnahme empfohlen. Der Patient entschied sich bei diesem Erstkontakt wie auch bei den folgenden Vorstellungen – auch in seiner Rückmeldung ausreichend informiert – zur Fortführung der ambulanten Behandlung.
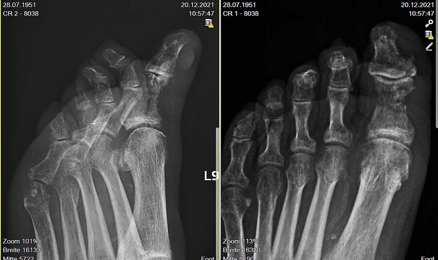
Röntgen linker Vorfuß in zwei Ebenen wenige Tage nach der Erstvorstellung (Abb. 12): Radiologisch sind deutlich die Osteolysen im Bereich des Grundgliedes und des Endgliedes DI links zu sehen. Im Einklang mit dem plantarem, tiefen Ulcusbefund und dem manifesten Infekt ist dies sicher als Osteomyelitis zu werten.
Eine bildgebende Diagnostik (wie arterielle BBA mit Option zur PTA lehnte der Patient ab) zeigte einige Wochen später folgendes Bild, auch zur Veranschaulichung der arteriellen Perfusion für den Patienten (Abb. 13).
Eine Verifizierung der dargestellten Stenosen/Gefäßabbrüche/Verschlüsse durch eine selektive arterielle Becken-Bein-Angiografie lehnte der Patient ab und wünschte unverändert die Fortführung der Therapie mit regelmäßigem chirurgischem Wunddebridement, Desinfektion, Fortführung der antibiotischen Therapie und Entlastung/ Ruhigstellung der Wundregion.
Wundbefund im Verlauf
Zwischenzeitlich erfolgten ausführliche Gespräche mit dem Patienten und auch Angehörigen zum durchaus positiven Verlauf und weiter bestehender Amputationsgefahr DI links. Für eine zweite unabhängige Meinung zur Therapie und Amputationsgefahr DI links erfolgte die ambulante Vorstellung bei einem erfahrenen Chirurgen, der die kurzfristige, auch ambulant durchzuführende, DI Amputation empfahl. Hierzu konnte sich der Patient nicht entschließen.
Daraufhin erfolgte – auf Patientenwunsch – die regelmäßige und engmaschige Weiterbehandlung in unserer Diabetes-Fuß-Ambulanz (zertifizierte Fußbehandlungseinrichtung DDG) (Abb.14, Abb. 15, Abb.16, Abb. 17, Abb. 18).
Spätestens ab März 2022 zeigte sich nun dem Patienten und den TherapeutInnen, dass trotz initial ausgedehntem Ulcus mit Infekt und Osteolyse eine DI-Amputation nicht erforderlich ist und über eine konsequente konservative Therapie ein Zehenerhalt links (wie vorher auch schon rechts mit Defektheilung) möglich sein wird.
Ab Juli 2022 (Abb. 19 und Abb. 20) bestand für die Wunde am linken DI eine nahezu vollständige Wundheilung, Epithelisierung (Remission).
Beide Großzehen zeigen eine deutliche Deviation nach dorsal und eine Deformation, aber nun beidseits ohne Wunde. Den Patienten stört der Fußaspekt nicht und ist mit dem Verlauf zufrieden.
Auf die weitere und spezialisierte Schuhversorgung angesprochen, die er bislang für sich nicht akzeptieren konnte, brachte der Patient bei einem ambulanten Vorstellungstermin folgende von ihm bevorzugte und angezogene Schuhe mit.
Dem Patienten ist eine Weiterbetreuung in einer qualifizierten, patientenorientierten Fußbehandlungseinrichtung zu wünschen, damit die Wahrscheinlichkeit für den Erhalt der Remission erhöht wird und das Risiko für eine Ulcusrezidiv gesenkt wird.
Gewidmet den langjährigen Mitarbeiterinnen (Wundassistentinnen DDG) Bettina Gebker, Marion Grunden, Ulla Jung, Silvia Niemöller, Andrea Schröder und der OÄ Dr. Wagner, mit denen dieser Behandlungsverlauf so möglich war. Diese Fußbehandlungseinrichtung wurde leider aufgelöst.
Der Patient ist ausdrücklich mit einer anonymisierten Darstellung dieses Verlaufs einverstanden.
|
|
Erschienen in: Diabetes-Forum, 2023; 35 (4) Seite 34-36

